ANUNCIE AQUI
Cerca de uma em cada cinco pessoas no mundo desenvolve algum tipo de câncer ao longo da vida, segundo o levantamento mais recente da Agência Internacional de Pesquisa sobre o Câncer (IARC), da Organização Mundial da Saúde (OMS).
O número de casos no Brasil segue crescendo: a previsão para este ano é de 600 mil novos diagnósticos, segundo o INCA (Instituto Nacional do Câncer). Casos de personalidades da mídia vêm chamando a atenção no país: em julho, mês em que a cantora Preta Gil morreu em decorrência de complicações de um tumor colorretal, o apresentador e chef Edu Guedes passou por quatro cirurgias após ser diagnosticado com câncer de pâncreas. Mais recentemente, nesta segunda-feira (6), o jogador do Bahia, Everton Ribeiro, revelou ter sido operado para tratar um câncer de tireoide, identificado há quase um mês.
Leia mais notícias:
Todos esses são exemplos de tumores sólidos, que correspondem a cerca de 90% dos casos de câncer em adultos. Mas também existem tumores hematológicos — ou “líquidos” —, como linfomas e leucemias, que afetam o sangue e o sistema linfático.
A seguir, entenda o que é câncer e quais são as diferenças entre esses tumores e como eles se manifestam.
Como a oncologia define um câncer?
Como resume a médica patologista Julieta Pandolfi, do Serviço de Anatomia Patológica e do Laboratório de Sequenciamento do Hospital Italiano de Buenos Aires, na Argentina, “o câncer é uma enfermidade em que uma célula de qualquer parte do corpo se torna anormal e passa a se multiplicar de forma descontrolada”.
A especialista participou do Seminário Educativo Latino-Americano de Oncologia, promovido pela Pfizer em Lima, no Peru. Durante o evento, ela explicou que, em algum ponto, esse crescimento descontrolado é acompanhado de propriedades que essas células têm que lhes permitem migrar e invadir outros territórios do corpo humano, o que é conhecido como metástase no caso dos cânceres oncológicos.
"Se aplicarmos isso ao câncer de pulmão em particular, nós teremos diferentes períodos de doença", exemplifica Pandolfi. "Falamos de doença localizada ou precoce quando esse tumor está confinado ao pulmão. E é importante, nesse período, ressaltar que é quando os pacientes têm mais chances de cura".
Julieta Pandolfi no Seminário Educativo Latino-Americano de Oncologia, promovido pela Pfizer em Lima, no Peru — Foto: Divulgação/Pfizer Os tumores sólidos mais frequentes
O câncer de pulmão é considerado o mais comum em todo o mundo, com 2,5 milhões de novos casos em 2022, representando 12,4% do total, segundo a IARC. Os tumores pulmonares foram os que mais mataram no planeta, somando 1,8 milhão de fatalidades. Mas o pulmão está longe de ser o único órgão que pode desenvolver câncer: na verdade, qualquer célula do corpo pode se tornar cancerígena.
Pandolfi lembra que o mais frequente é que o câncer ocorra em células que passam por muita permuta genética (crossing over), um processo que acontece durante a meiose (processo de divisão celular). É o caso de algumas glândulas humanas, como as mamas ou a próstata, ou mesmo o cólon. Além disso, órgãos mais expostos a agentes nocivos, como ao tabaco no caso do pulmão, são mais vulneráveis ao desenvolvimento de tumores.
Não por acaso, o câncer de mama feminino ficou em segundo lugar no ranking de incidência global, com 2,3 milhões de casos, seguido pelo câncer colorretal, com 1,9 milhão de registros, câncer de próstata (1,5 milhão) e de estômago (970 mil casos).
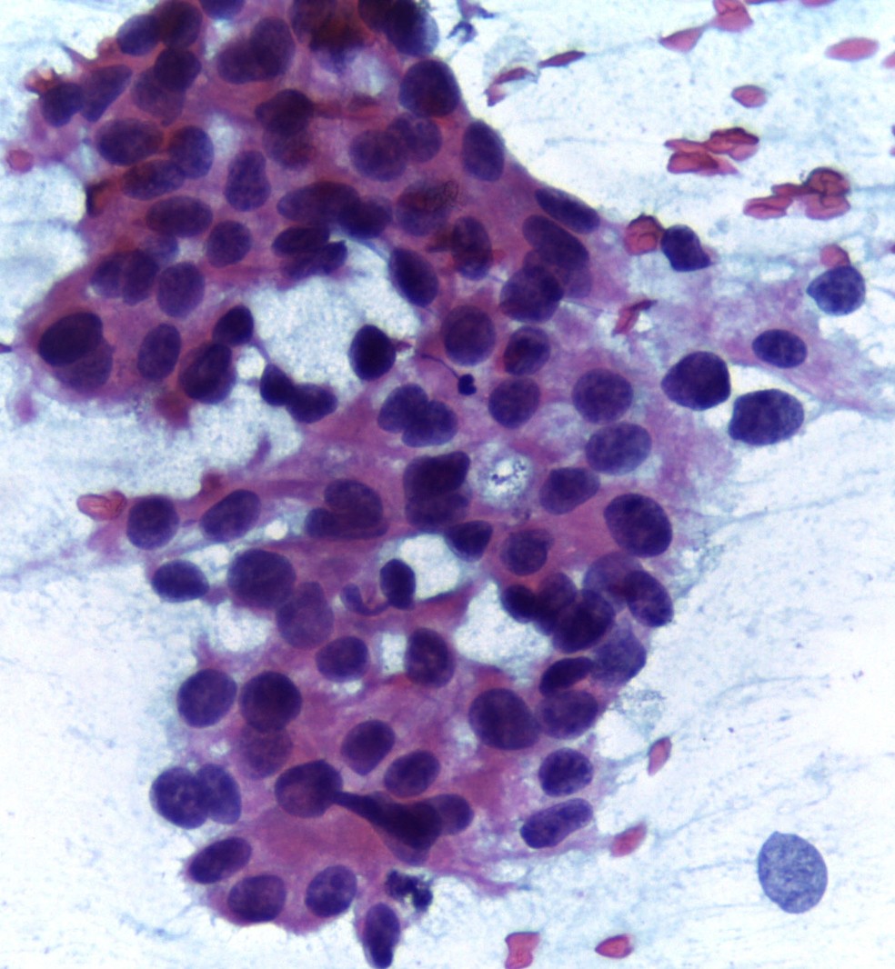
Carcinoma ductal invasivo de mama visto em microscopia — Foto: Wikimedia Commons Por envolverem tumores malignos, esses cânceres são chamados de oncológicos ou sólidos. Cada tipo de câncer sólido tem sintomas característicos e pode surgir em pessoas de qualquer idade — inclusive em bebês. Os tumores cancerosos são compostos por uma massa anormal de tecido que cria uma única massa ou várias massas. Eles são divididos em dois grandes grupos:
Os carcinomas são os mais comuns e têm maior incidência em pessoas idosas. Eles se originam nas células que revestem a pele, nos pulmões, no aparelho digestivo e em diversos órgãos internos. Os mais frequentes entre os tumores do grupo são os cânceres de pele, pulmão, cólon, estômago, mama, próstata e tireoide.
Já os sarcomas são mais raros e costumam afetar pessoas mais jovens. Eles se desenvolvem a partir das células mesodérmicas, responsáveis pela formação de músculos, vasos sanguíneos, ossos e tecidos conjuntivos. Exemplos incluem o leiomiossarcoma, que acomete o músculo liso presente na parede dos órgãos do aparelho digestivo, e o osteossarcoma, que tem origem nos ossos.
Os cânceres sólidos são preveníveis com intervenções no estilo de vida, como não fumar, evitar a ingestão de bebidas alcoólicas, ter uma alimentação equilibrada, ter um peso saudável, praticar atividade física, amamentar, evitar comer alimentos ultraprocessados e se proteger da exposição excessiva ao Sol e a agentes cancerígenos.
Já os cânceres que afetam o sangue, a medula óssea e o sistema linfático, conhecidos como sólidos ou hematológicos, não são preveníveis com mudanças nos hábitos de vida. Isso acontece porque a causa central dessas doenças ainda é debatida pela ciência: portanto, a melhor prevenção continua sendo fazer exames de sangue com frequência. Após uma eventual suspeita, são necessários outros exames, como mielograma, biópsia de medula óssea ou linfonodos.
As principais hipóteses para a origem dos cânceres líquidos são os fatores ambientais e genéticos. Isso não significa, porém, que um câncer do sangue seja passado de pais para filhos, como outros tipos de doenças do sangue, por exemplo, a hemofilia. O que acontece é apenas que certas alterações genéticas podem aumentar a predisposição ao desenvolvimento da doença.
Ao contrário dos tumores oncológicos, que sofrem metástase, os cânceres líquidos são doenças sistêmicas desde o início, ou seja, elas já afetam desde o princípio diferentes tecidos do corpo. Entre os principais sintomas estão: fadiga ou cansaço excessivo; febre persistente ou calafrios; suor noturno; sangramentos ou hematomas fáceis, não relacionados a trauma; perda de peso sem motivo aparente e dor nos ossos ou articulações.
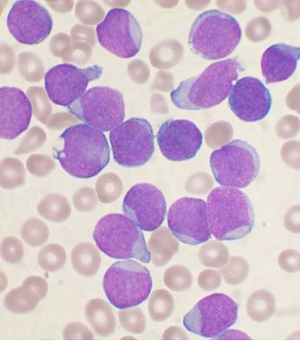
Medula óssea de uma pessoa com leucemia linfoblástica aguda de percursores B. — Foto: Wikimedia Commons Os três tipos de cânceres hematológicos mais comuns são:
- leucemia (afeta os glóbulos brancos);
- linfoma (surge no sistema linfático)
- e mieloma múltiplo (atinge as células plasmáticas).
"Em crianças, o câncer mais frequente é a leucemia. Felizmente, elas não sofrem de mieloma", conta à GALILEU Teodoro Muñíz, Líder de Hematologia da Pfizer no México. "Já o linfoma ocorre em ambos os grupos: adultos e crianças. Mas o mieloma múltiplo só atinge adultos e a seriedade da doença depende do período do diagnóstico".
A leucemia é o tipo de câncer hematológico mais comum no mundo. Em segundo lugar, está o mieloma múltiplo, que é mais complexo do que a leucemia, mas não necessariamente mais grave, segundo o médico.
O alvo do mieloma, as células plasmáticas, são células comuns, só que com alta especificidade. "No mesmo lugar em que o câncer de células plasmáticas se forma, há um tipo de tumor altamente especializado. Essa característica deixa essa doença mais difícil de rastrear e diagnosticar", explica Muñíz. "Por essa razão, precisamos combinar diferentes tipos de tratamento, transplantes e anticorpos biespecíficos a fim de criar uma nova era do tratamento do mieloma múltiplo."
Teodoro Muñíz no Seminário Educativo Latino-Americano de Oncologiada Pfizer em Lima, no Peru — Foto: Divulgação/Pfizer Na América Latina, a incidência desse tipo de mieloma é maior do que a média mundial, segundo destaca o especialista. Na região, segundo ele, a imunoterapia é um dos avanços mais importantes no tratamento da doença, e consiste em dois grupos principais, que podem ser associados à quimio e radioterapia: anticorpos biespecíficos e células CAR-T.
As células CAR-T são células de defesa (linfócitos-T) reprogramadas em laboratório para saírem de um estado de "dormência" e começarem identificar o câncer. Já os anticorpos biespecificos são uma combinação de dois anticorpos monoclonais, também modificados e injetados nos pacientes, que se ligam a duas proteínas diferentes simultaneamente: na célula cancerosa e em outra célula do sistema imunológico.
Esse tipo de terapia pode resultar em efeitos adversos, como no trato gastrointestinal e na pele, mas é possível prevenir isso com medicamentos corticoides. Ainda assim, a imunoterapia continua sendo uma ferramenta importante, que não descarta a necessidade de quimioterapia, mas que pode ser combinada a ela para potencializar resultados e salvar vidas.
*A jornalista viajou à Lima, no Peru, a convite da Pfizer.

há 6 meses
96
:strip_icc()/i.s3.glbimg.com/v1/AUTH_fde5cd494fb04473a83fa5fd57ad4542/internal_photos/bs/2025/P/4/L9oqJYQ1WxbKH1D4bXAg/dog-lhasa-apso-canine-animal-f3bcef251903c0573ca46b1204966b0f.jpg)
:strip_icc()/i.s3.glbimg.com/v1/AUTH_fde5cd494fb04473a83fa5fd57ad4542/internal_photos/bs/2025/L/d/pRFxE8QMm7aBqqQhrXDA/mit-water-shaker01-press-0.jpg)
:strip_icc()/i.s3.glbimg.com/v1/AUTH_fde5cd494fb04473a83fa5fd57ad4542/internal_photos/bs/2025/F/w/IbiAtrToW8mp5wiRBeww/handler.png)





Portuguese (BR) ·