ANUNCIE AQUI
De vez em quando, baleias ou golfinhos podem encalhar na areia. Em situações como essa, biólogos marinhos jogam baldes de água sobre o animal, na tentativa de protegê-los da exposição solar e do ressecamento da pele. Pessoas inexperientes tentam fazer com que o mamífero retorne ao mar com o aumento da maré. No entanto, eventualmente o mamífero marinho encalhado é encontrado morto.
Um novo estudo, publicado na Communication Biology na última terça-feira (30), reforça a hipótese de que golfinhos ou baleias encalham por sofrerem um tipo de Alzheimer. Em alguns casos, humanos com demência ficam desorientados e são encontrados longe de casa — algo semelhante pode acontecer com mamíferos marinhos.
As cianobactérias produzem moléculas tóxicas e a exposição crônica a esses organismos pode resultar em uma desorientação do tipo Alzheimer em baleias e golfinhos. Em estudos anteriores, investigaram o contato dos moradores da ilha de Guam, no Pacífico, com as toxinas de cianobactérias — descobriram que elas estão associadas a proteínas tau malformadas e com placas amiloides, dois sinais característicos da doença de Alzheimer.
O aminoácido produzido por cianobactérias denominado β-N-metilamino-L-alanina (BMAA) e seus isômeros ácidos 2,4-diaminobutírico (2,4-DAB) e N-2-aminoetilglicina (AEG) possuem um grau significativo de toxicidade para os neurônios. A neuropatologia parecida com a do Alzheimer pode ser provocada pela BMAA, levando a perda cognitiva em animais. Através de um processo chamado biomagnificação, as toxinas podem ser acumuladas progressivamente na cadeia alimentar dentro do ecossistema marinho.
Ao leste da Flórida, no Rio Indiano, cerca de 20 golfinhos-roaz (Tursiops truncatus) encalhados foram estudados por cientistas. Como resultado, os cérebros desses animais continham BMAA e o isômero 2,4-DAB. No verão, em época de floração das cianobactérias, os golfinhos encalhados apresentaram 2.900 vezes mais concentração de 2,4-DAB em comparação com outras estações do ano.
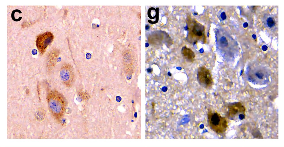
Além disso, o cérebro dos golfinhos também continha placas beta-amiloide e proteínas tau hiperfosforiladas — características semelhantes às dos pacientes diagnosticados com Alzheimer. A proteína TDP-43, atributo de uma forma grave da doença neurodegenerativa, também estava presente no cérebro dos golfinhos.
Ao todo, os golfinhos expressaram 536 genes ligados ao Alzheimer durante as temporadas de floração. O aquecimento global, em conjunto com o despejo de nutrientes do escoamento agrícolas e as descargas de esgoto prolongam o período de proliferação das cianobactérias.
c: Patologia beta-amiloide no cérebro de um golfinho encalhado; g: proteína tau hiperfosforilada no cérebro de um golfinho encalhado. — Foto: David Davis Frequentemente, águas saturadas de cianobactérias são liberadas do Lago Okeechobee para a Lagoa Indian River, onde estão os golfinhos-roazes. "Como os golfinhos são considerados sentinelas ambientais para exposições tóxicas em ambientes marinhos, há preocupações sobre problemas de saúde humana associados às proliferações de cianobactérias”, explica David Davis, da Universidade de Miami, em comunicado.
Em 2024, dados apontaram que o Condado de Miami-Dade teve a maior prevalência de Alzheimer em comparação com outras regiões dos Estados Unidos. "Embora provavelmente existam muitas vias para a doença de Alzheimer, a exposição a cianobactérias parece ser cada vez mais um fator de risco", acrescenta Davis.

há 6 meses
67
:strip_icc()/i.s3.glbimg.com/v1/AUTH_fde5cd494fb04473a83fa5fd57ad4542/internal_photos/bs/2025/P/4/L9oqJYQ1WxbKH1D4bXAg/dog-lhasa-apso-canine-animal-f3bcef251903c0573ca46b1204966b0f.jpg)
:strip_icc()/i.s3.glbimg.com/v1/AUTH_fde5cd494fb04473a83fa5fd57ad4542/internal_photos/bs/2025/L/d/pRFxE8QMm7aBqqQhrXDA/mit-water-shaker01-press-0.jpg)
:strip_icc()/i.s3.glbimg.com/v1/AUTH_fde5cd494fb04473a83fa5fd57ad4542/internal_photos/bs/2025/F/w/IbiAtrToW8mp5wiRBeww/handler.png)





Portuguese (BR) ·